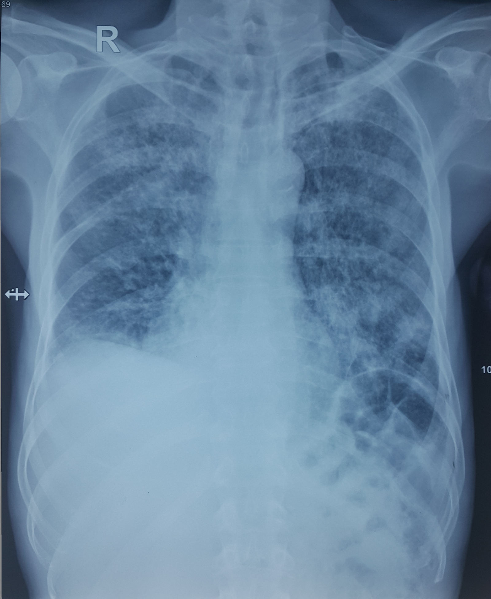
Bệnh nhân nam 69 tuổi vào viện vì ho khạc đàm 1 tháng nay, kèm sụt cân 5 kg
X quang ngực của bệnh nhân
Mời các bạn để lại phân tích bên dưới phần bình luận
X quang ngực của bệnh nhân
Mời các bạn để lại phân tích bên dưới phần bình luận
Tags:
Phân tích X quang ngực